Tag: biomedical engineering
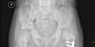
Cross-linked polyethylene hip implants lower rate of repeat surgery
A long-term follow-up study conducted in Australia has confirmed that hip implants which contain crossed-linked polyethylene (XLPE) substantially lower the risk of a patient...
Stanford University Creates Better Cardiac Catheter Devices with 3D Printing
Stanford medical student Kevin Cyr is part of a team of researchers using 3D printing to build custom cardiac surgical devices.
Second-year medical student Kevin...
Optical fibers that can sense the materials around them
In recent years optical fibers have served as sensors to detect changes in temperature, like a thermometer, and pressure, like an artificial nerve. This...
A semiconductor biochip to identify drug-resistant pathogens
Evolving strains of multi-drug resistant pathogens are a growing global concern, outpacing drug discovery efforts and undermining the efficacy of existing antibiotics. The development...
Pressurized Gyration for the Production of Polymeric Fibers
Ultrafine fibers offer numerous advanced technology applications. For example, filters made of micro- to nanofibers can trap microbes and can be used in hospital...
Fully Biodegradable Sensor for Rehabilitation Monitoring
The US Stanford scientist Paige Fox and her team from the Division of Plastic & Reconstructive Surgery at the Stanford University Medical Center alongside...
Structo’s dental 3D printers empowers ClearCaps
Structo’s dental 3D printers empower ClearCaps to deliver superior clear aligners.
Structo’s printers form part of ClearCaps’ state-of-the-art arsenal of clear aligner manufacturing equipment.
▪ Structo‘s...
3D Bioprinting Replacement Cartilage for Curing Arthritis
One out of ten people will suffer from arthritis in their lifetime. Arthritis is caused by the breakdown of the cartilage tissue in a...
Microelectrode arrays Printed Directly onto Gummies
Microelectrode arrays (MEAs) provide promising opportunities to study electrical signals in neuronal and cardiac cell networks, restore sensory function, or treat disorders of the...
Solvay’s polyarylamide resin stands up to stiff challenges
Solvay’s polyarylamide resin stands up to stiff challenges in single-use bone-fixation device
In developing a more robust, single-use bone-fixation system than currently available devices, MedTech...




















